
If you’re here, you may be tired of hiding your smile because of broken, worn, missing, or discolored teeth. Maybe you avoid photos. Maybe you cover your mouth when you laugh. Over time, it can affect more than your teeth — it can affect your confidence.
You’re not alone.
We’ve helped thousands of patients throughout Lakewood, Ohio restore their smiles and feel like themselves again.
Our goal isn’t just to fix teeth — it’s to help you feel confident at work, with family, at social events, and in everyday conversations.
If you’re ready for a real, long-term solution instead of another temporary fix, cosmetic dentistry often provide the most durable and natural-looking option for replacing damaged or missing teeth.
You don’t have to live with embarrassment anymore. A confident smile is possible — and it may be closer than you think.

Real Stories from Real Patients


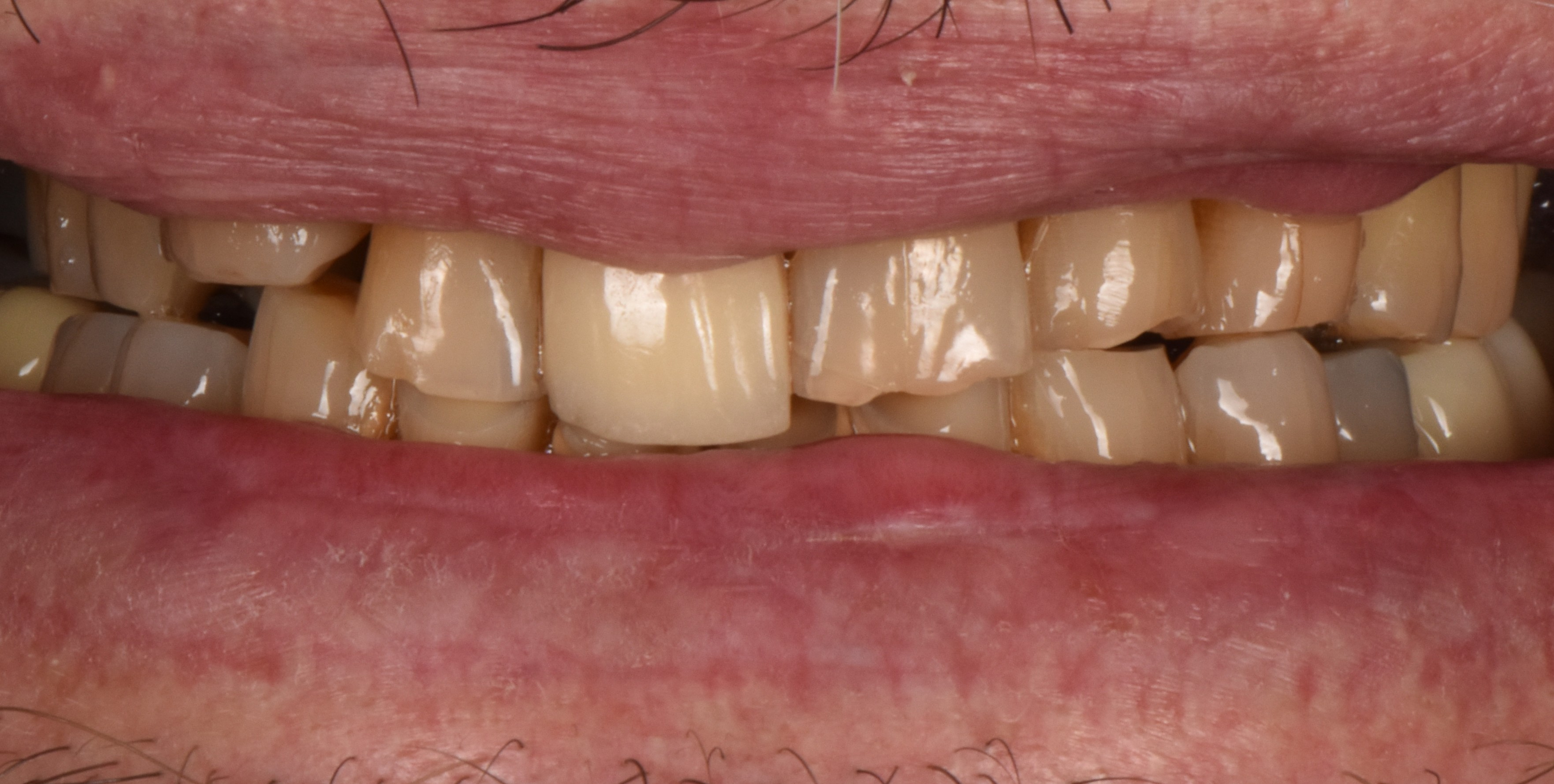
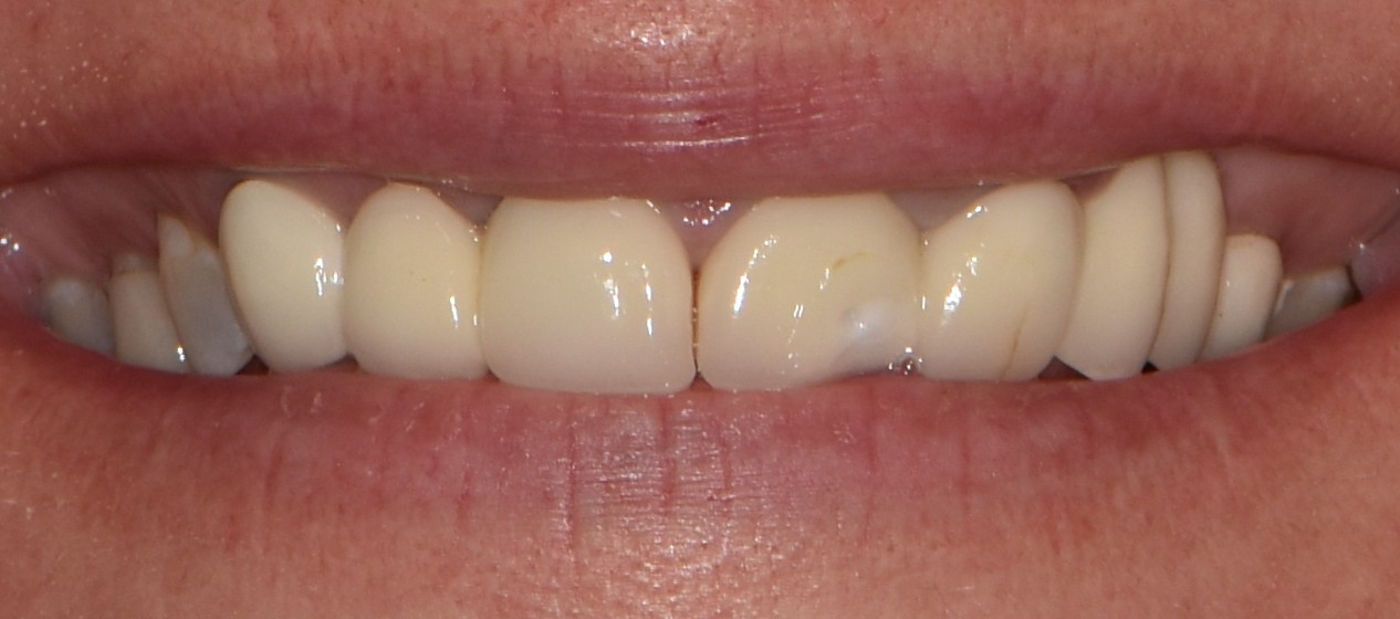
Leah had been dealing with old dental work that was starting to break. We talked about options with her and came up with a plan to not only address the chipping and cracking, but also improve the look of her smile.


Antoinette was not unlike many of the patients we see. Years of wear and tear can add up, leaving you wondering if there is anything that can even be done to fix it. Luckily Antoinette didnt give up. She came to us to find a solution, and she couldnt be happier!


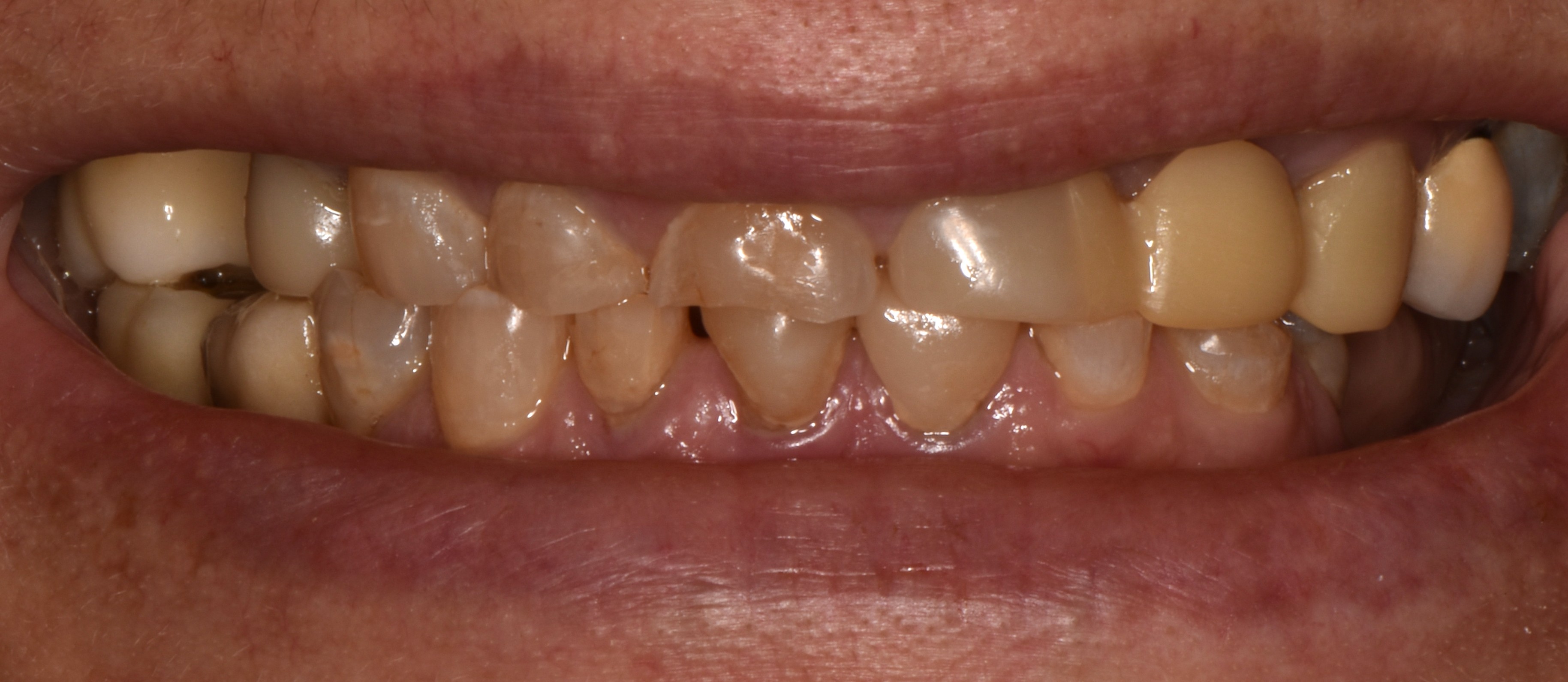
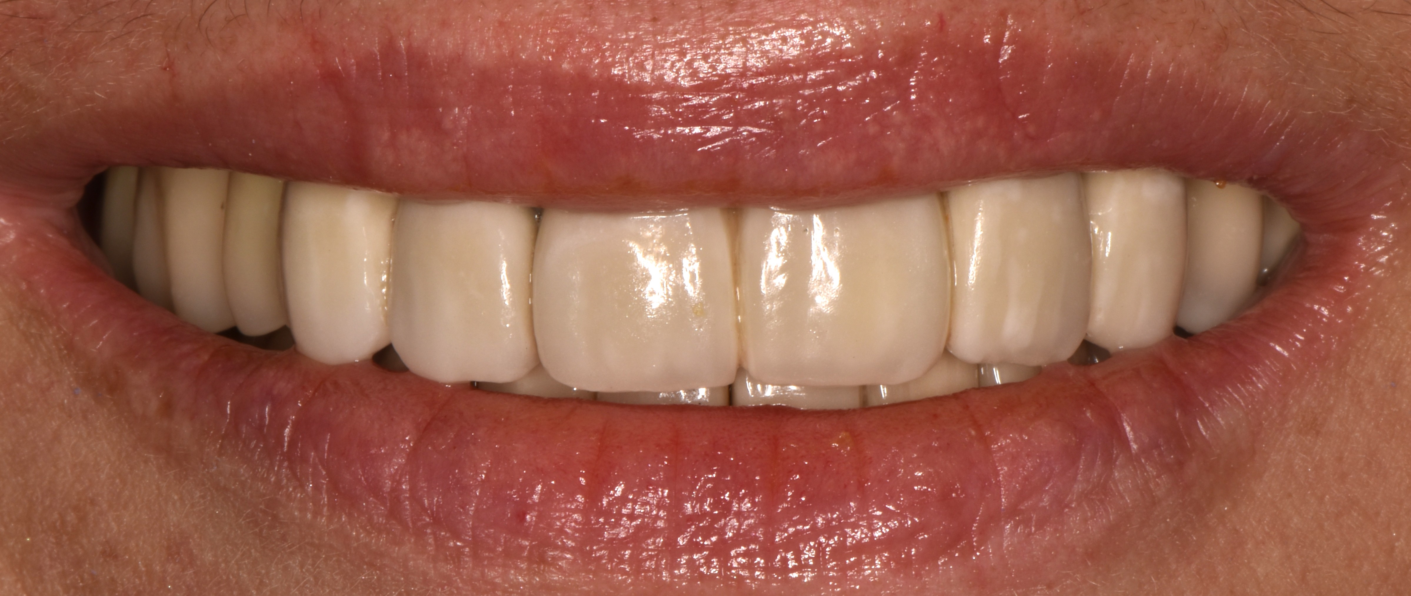
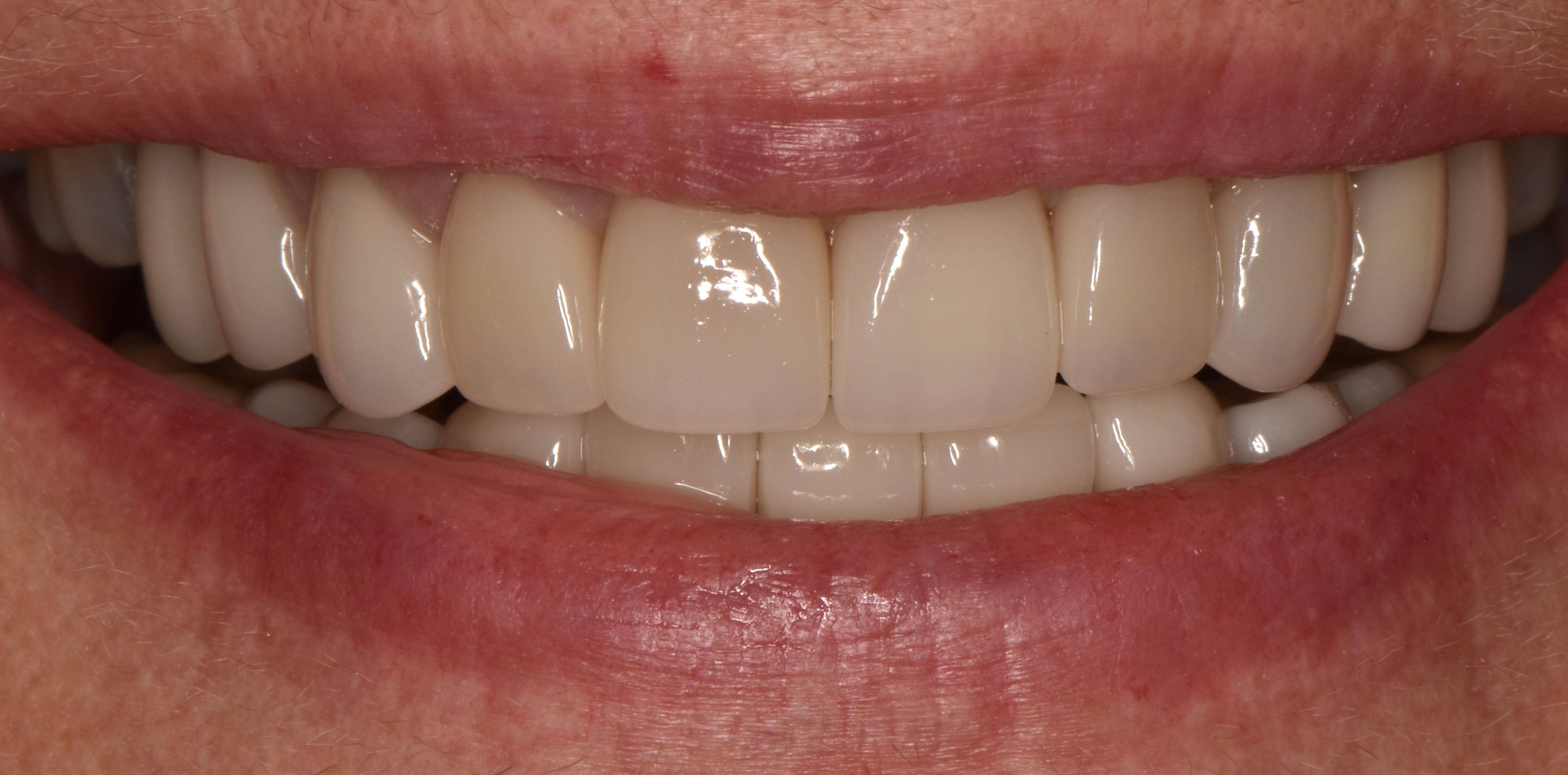
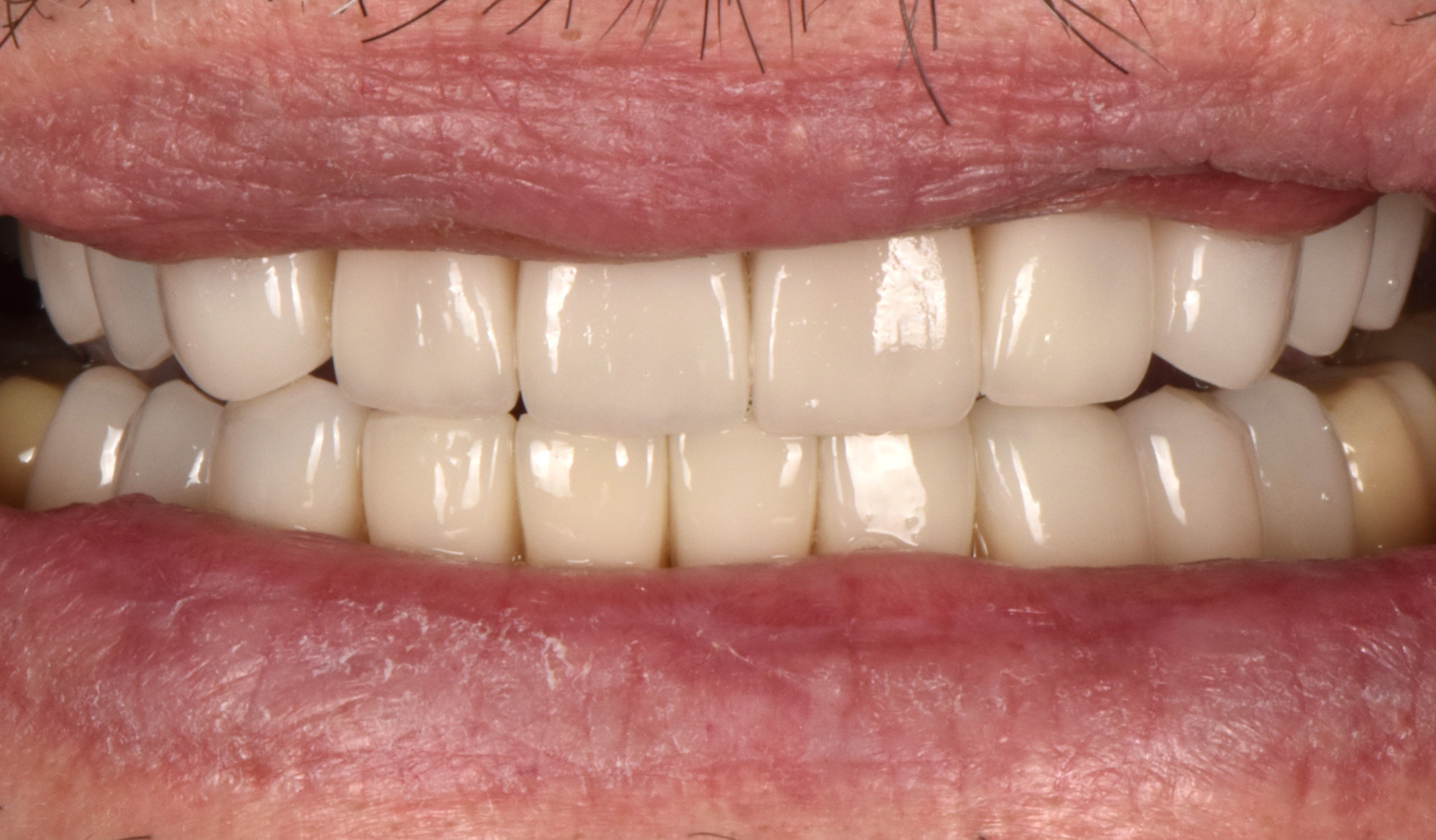
Years of boxing left his teeth badly damaged and constantly breaking. Dr. Matt Smith and his team created a permanent solution, fixing extensive damage and restoring his smile. Today, he feels confident again and highly recommends Dr. Smith and his team for their skill, care, and results.”









Call our office at 216-226-1052 to schedule your initial consultation

Send us an email and we will respond to you as soon as possible.